
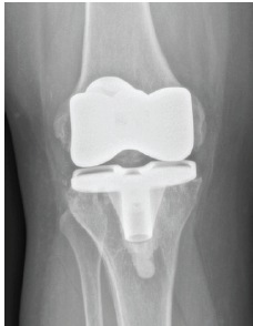
Redefining Outcomes in Robotic-Guided Knee Arthroplasty through Purposeful Rehabilitation
Sagar Deshpande , Sachin Kale , Dnyanesh Patil , Ashok Shyam
………………………………p.1-3
JOCR is now available on Pubmed
JOCR is now CrossRef Enabled with unique DOI (Digital Object Identifier) for Every Issue and also for every Individual Article
e-ISSN is now assigned to JOCR and will accompany every article published in JOCR
All Articles in JOCR are now deposited with DOAJ, Index Copernicus and EbscoHost thus allowing for wider audience – More than 20 International University Libraries are now accessing and cataloging JOCR for their readers

Redefining Outcomes in Robotic-Guided Knee Arthroplasty through Purposeful Rehabilitation
Sagar Deshpande , Sachin Kale , Dnyanesh Patil , Ashok Shyam
………………………………p.1-3

Next-Generation Techniques in Orthopaedic Teaching and Learning
Madhan Jeyaraman , Naveen Jeyaraman , Arulkumar Nallakumarasamy , Ashok Shyam
………………………………p.4-8

Bucket Handle Tear of the Medial Meniscus with a New Magnetic Resonance Imaging Sign: The “Head in the Sand Sign” – A Case Report
Joseph Sajeev , Anand Raj Rajendrababu , Jerin Jeevo , Velpula Mohan Babu , Raphael Thomas , Rajkumar S Amaravati
………………………………p.9-13

Extended Antibiotic Spacer use in an Infected Total Knee Arthroplasty with Mycobacterium intracellulare – A Case Report
Jayanth Kumar , Mason Fawcett , Musab Gulzar , Andres Lopez , Julie Shaner
………………………………p.14-18