Management of Isolated Closed Talar Dislocations.
Dr Yashavantha Kumar C, No 20, Sri Tiru Nivas , Lotte Golla Halli, RMV II STAGE, Bangalore -560094. India. Mobile: 919663581868. E-mail: kumyashwanth@gmail.com
Introduction: Total talar dislocations are uncommon injuries and usually seen following high velocity injuries. Total talar dislocations (missing talus) without fractures around the ankle are extremely rare. There are no consensuses on the best treatment of such injuries. To best of our knowledge very few cases have been reported in literature. We hereby report a closed total talar dislocation in a 25 year old male without an associated fracture around ankle. He was managed with emergency closed reduction and below knee splint. At one year follow up there were no complications.
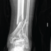
Case Report: A 25 year old male presented to orthopaedic causality with injury to right ankle following a road traffic accident. Patient complained of severe pain and deformity of ankle following injury. On examination ankle was deformed and swollen. Plain radiographs of right ankle joint revealed total anterolateral dislocation of talus without any accompanying ankle fracture. CT scan with 3D reconstruction also confirmed our radiographic findings. Under spinal anaesthesia and fluoroscopic guidance closed reduction was performed. To maintain reduction a 3mm K-wire was passed from calcaneum to tibia through talus. A posterior below knee splint was applied. Patient was followed every three months till one year. At one year follow up patient had good range of motion at ankle and subtalar joint.
Conclusion: Total talar dislocations are very rare injuries and should be treated as impending open fractures. There is no consensus on treatment of such complex injuries as very few cases have been reported in literature.
Keywords: Malleolar fracture, Missing talus , Talar dislocation.




