A Rare Complication of Sequential Bilateral Posterior Knee Dislocation Following Bilateral Robotic Assisted Primary Knee Replacement: Case Report
Deepak D Chitragar , Sathish Devadoss , Annamalai Devadoss
………………………………p.207-212
A Rare Complication of Sequential Bilateral Posterior Knee Dislocation Following Bilateral Robotic Assisted Primary Knee Replacement: Case Report
Deepak D Chitragar , Sathish Devadoss , Annamalai Devadoss
………………………………p.207-212
Melorheostosis: A Rare Case Report with Pelvic and Lumbar Involvement
Divya Nand Pandey , Harsh Pratap Singh , Chetan Singh , Sanjay Kumar , Ayush Prakash
………………………………p.213-216
Polyethylene Insert Wear Leading to Early Aseptic Bilateral Total Knee Arthroplasty Failure: Case Report
Vishwajit Patil , Neeraj Adkar , Mangesh Patil , Ravi Kerhalkar , Prajwal Sadlagi , Narendra Nagle
………………………………p.217-222
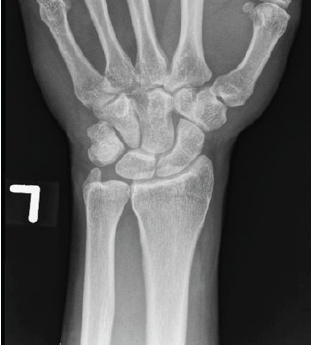
Avascular Necrosis of the Hamate Treated with a 4–5 Extensor Compartmental Artery Graft: A Case Report and Literature Review
Mauz Asghar , Jonathan Persitz , Norah Matthies Andrea Chan , Ryan Paul
………………………………p.223-230
Don’t Dismiss the Swelling: A Rare Case of Tenosynovial Giant Cell Tumor in a Young Woman’s Finger – A Case Report
Mohamed Safiullah , Venkata Kiran Pillella
………………………………p.231-234
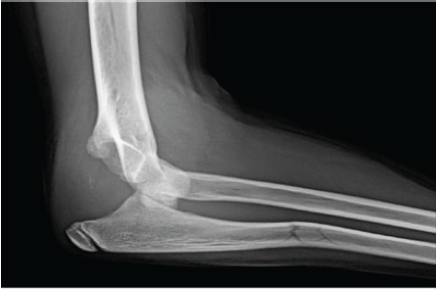
Elbow Dislocation Associated with Severely Displaced Radial Neck Fracture and Ulnar Diaphyseal Fracture in an 11-Year-Old Girl – A Very Rare Case Report
Louis Biernaux , Valentina Maestri , Manon Deguée , Pierre-Louis Docquier
………………………………p.235-238
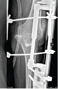
Knee Arthodesis, As a Salvage Procedure for Non-union of Floating Knee after Ilizarov Fixation-A Case Report
Harsh Kumar , Raj Suhas Kamble , Suhas Laxman Kamble
………………………………p.239-243
Bilateral Total Hip Arthroplasties Secondary to Renal Osteodystrophy in a Patient with a Rare Cromer Antibody: A Case Report
Anisha Tyagi , Caldon Jayson Esdaille , Ajith Kumar Kannan , Jennifer Joseph , James Lee Jr , Rahul Mittal
………………………………p.244-249
From Nail to Fail: Complications Encountered with Clavicle Nailing – A Series of 3 Cases
S Udayan , S Srijay Sashaank , Mohamed Sameer , J K Giriraj
………………………………p.250-255
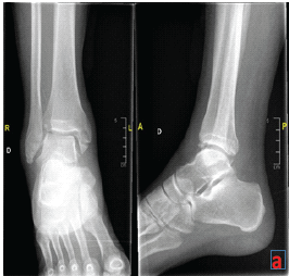
Chronic Syndesmotic Instability Associated with a Complex Lesion of the Posterior Inferior Tibiofibular Ligament: Review, Case Report, and Surgical Report
Virginie Perez , Nermine Habib , Angela Seidel
………………………………p.256-259