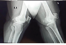
Non-union Hoffa’s fracture in an Adult Male managed with Total Knee Arthroplasty : A Rare Case Report
S S Khatri , Namrata Shekhawat
………………………………p.52-55
Non-union Hoffa’s fracture in an Adult Male managed with Total Knee Arthroplasty : A Rare Case Report
S S Khatri , Namrata Shekhawat
………………………………p.52-55
Isolated Anterior Extradural Enterogenous Cyst of the Thoracic Spine Mimicking an Anterior Thoracic Meningocele: A Case Report
Surya Prakash Rao Voleti , Apurve Parameswaran , Ranjith Mahesh Nellore , Raja Shekar Kaitepalli , Vidya Kedarisetti
………………………………p.56-61
Total Hip Arthroplasty with Cage Application for Complex Posterior Hip Dislocation and Acetabular Fracture in a Patient with Prior Patellectomy: A Case Report
Amit Saraf , Sandeep Bishnoi , S Krishna Kumar
………………………………p.62-65
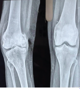
Isolated Double Hoffa Fracture of the Distal Femur without Intercondylar Extension: A Rare Case Report
Utkarsh Jain , Vipin Gupta , Navdeep Singh Keer
………………………………p.66-70
Atypical Idiopathic Inferior Functional Shoulder Instability in a 15-year-old Female: A Case Report and Review of Literature
Shrirang R Godbole , Devendra N Vartak , Renuka S Indurkar , Gayatri R Godbole
………………………………p.71-75
Failure of the Femoral Neck System in a Young Patient: A Case Report
Jude A Alawa , Christopher R Leland , Matthew A Pappas , Elyse J Berlinberg , John B Michaud , John J Wixted
………………………………p.76-82
Rare Case of Heterotopic Ossification Impinging on the Quadriceps Mechanism Following Total Knee Replacement: A Case Report
M S Karthik , Abrar Mohammed , Avinash Parthasarathy
………………………………p.83-87
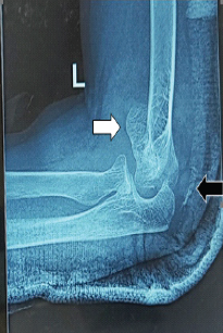
Capitellum Fracture with Distal Triceps Tendon Avulsion Injury: A Rare Presentation with Literature Review
Rajdeep Das , Sharan Mallya , Ashok Puranik , Rahul Kar
………………………………p.88-94
A Novel, Joint Sparing Surgical Approach to the Management of Giant Cell Tumor of the Distal Radius in a Pediatric Patient: A Case Report and Comprehensive Literature Review
Tushar Lalchandani , Lakshmana Das , Pankaj Sharma , Tarun Goyal , Nilesh Barwar
………………………………p.95-100
Single-Stage Hybrid Fixation of a Grade III Open, Unstable Trimalleolar Ankle Fracture with Syndesmotic Disruption and Posterior Talar Subluxation
Jeff Walter Rajadurai OR , C S Likhit , Shailesh Kumar , K Purushothaman , D Sudharsan , Naveen Kumar Duraisamy
………………………………p.101-105