The Price of Poor Cementing: A Case Report On Chronic Hip Dislocation And Revision
Vasavi Pushadapu , Srikanth Sriramozu , V Sahetya Mohan Rao , Sreekalyani Kothapally
………………………………p.260-264
The Price of Poor Cementing: A Case Report On Chronic Hip Dislocation And Revision
Vasavi Pushadapu , Srikanth Sriramozu , V Sahetya Mohan Rao , Sreekalyani Kothapally
………………………………p.260-264
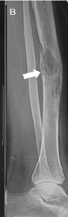
A Rare Case of Intraosseous Venous Malformation of Tibia in a Young Female – A Diagnostic Dilemma
Divesh Jalan , Puneet Garg , Rohit Prasad , Geetika Khanna , Dharmendra K Singh
………………………………p.265-269
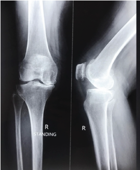
Anteromedial Tibia Plateau Fracture without Significant Ligamentous Injury Treated Successfully with Open Reduction and Internal Fixation: A Case Report
Ghadeer A Alsager , Sally S Aladwani , Abdulaziz M Alanazi , Ahmed M Al Issa
………………………………p.270-276
A Rare Case of Talus Neck and Open Medial Malleolus Fractures with Ankle Subluxation Treated using a Single Anteromedial Approach
S Venkatesh Kumar , Ashwath Ahila Baskar , K G Sathyendra , Ramson Vasagan , Rupali Dnyandeo Solankey , Rohini Venkatesh
………………………………p.277-281
An Anomalous Attachment of the Medial Meniscus Posterior and Anterior Roots Mimicking a Bucket Handle Meniscus Tear: A Case Report and Review of the Literature
Alexander J. Egol , Bradley A. Lezak , Emily Berzolla , Spencer M. Stein
………………………………p.282-287
Finding the Optimal Balance – Isolated Posterolateral Corner Reconstruction with Allograft Tendon in a Combined Posterolateral Corner-Posterior Cruciate Ligament Injury: A Case Report
Prasad Bhagunde , Nihar Modi , Damini Shah
………………………………p.288-293
Innovative Management of Double Segmental Femur Fracture without Fracture Table: A Case Report
Ambrish Kumar Singh , Abhinav Tiwari , Nischay Kaushik , Salman Durrani , Navneet Goel , Jashandeep Singh
………………………………p.294-298
Unusual Case of Failure of Tibial Polyethylene Insert Locking Mechanism in a Design of Cruciate Retaining Total Knee Arthroplasty – A Case Report
Chandan Mehta , Mohan Madhav Desai , Kushagra Jain , Urvil Shah
………………………………p.299-304
Intertrochanteric Femur Fracture in a High-Above-Knee Amputee: Technical Tips for Intraoperative Planning and Implant Selection with Literature Review
Prabodh Kantiwal , Aakarsh Aggarwal , Sugandhi Nemani , Sandeep Kumar Yadav , Sumit Banerjee
………………………………p.305-311
Successful Management of Quadriceps Tendon Tear with Repair and Augmented with Semitendinosus Graft –A Case Series
H Varrdhaman Dhariwal , R Prabhakar , K Mohankumar , Surya Subramanian
………………………………p.312-315