The Hidden Threat: Polyarticular Septic Arthritis Unmasking Disseminated Melioidosis
Suraj Prakash , Ravikumar Thoppanahalli Venkatesh , T N Subash Chandra Santhan Kumar Reddy Batthena Maruthi
………………………………p.269-277
The Hidden Threat: Polyarticular Septic Arthritis Unmasking Disseminated Melioidosis
Suraj Prakash , Ravikumar Thoppanahalli Venkatesh , T N Subash Chandra Santhan Kumar Reddy Batthena Maruthi
………………………………p.269-277
Enhancing Functional Outcomes in Distal End Radius Fracture Rehabilitation
Sagar Subhash Deshpande , Prerna Pradeep Ghodke , Sachin Yashwant Kale , Heli M Brahmbhatt , Het M Shah , Shradha Deshpande
………………………………p.278-287
Evaluation of Post-operative Analgesic Efficacy of Adductor Canal Block Compared to Conventional Intravenous Analgesics in Knee Arthroscopy Surgery
Priyanka Gupta , Mohan Babu Nema , Arvind Karoria , Vaibhav Gupta , Parul Nema , Vishnu Kumar Gupta
………………………………p.288-293
Comparative Outcomes of Arthroscopic Versus Open Meniscus Repair: An Observational Study
Aamir Shahzad , Hasnain Chohan , Ismail Pandor , Fahim Ali , Rachit Wadhawan , Soban Meer
………………………………p.294-302
Correlation of Serum Vitamin D Levels and Incidence of Lateral Epicondylitis of the Elbow: An Observational Study in Eastern India
Udit Kumar Biswal , Pooja Priyadarsini
………………………………p.303-308
Effect of Routes of Administration of Tranexamic Acid in Peri-Operative Blood Loss in Total Hip Arthroplasty: A Prospective Comparative Study
Devang Bharadwaj , Amit Saraf , Pradeep Kumar Pathak , Sanjeev Chincholi , Priti Ranjan Sinha , Sanjeev Gupta
………………………………p.309-3016
Retrograde Intramedullary Nailing Versus Locked Plating for Periprosthetic Distal Femur Fractures: A Propensity-matched Cohort from TriNetX
Aamir Shahzad , Haji Bahar Ali , Hasnain Chohan , Fouad Kaddour-Hocine , Amna Shoaib , Ismail Pandor
………………………………p.317-328
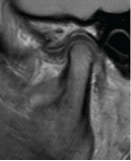
Magnetic Resonance Imaging Evaluation of Temporomandibular Joint Involvement in Ankylosing Spondylitis Patients
Rahul Srivastava , J Srilakshmi , Vinay Kumar , Sumit Bhatt , Sania Khan , Brijesh Byrappa
………………………………p.329-334
The Importance of Closed Reduction and Internal Fixation done with Intramedullary Implants in Pathological Fractures – A Case Series
Kapil Bansal , Anshul Dahuja , Iqbalpreet Singh , Krishmveer Singh , Manmohan Singh , Rahul Garg ………………………………p.335-342
A Prospective Comparative Study of the Outcome of Diaphyseal Humeral Shaft Fractures with Anterior BridgePlating versus Open Reduction Internal Fixation by Dynamic Compression Plating
Sharon Rose Neerudi , Sri Ravindranath Vutukuru , Anil Kumar Mettu , Shiva Kumar Ale , Koribilli Sai Pradeep , Praveen Kumar Singh
………………………………p.343-350