Diagnosis of symptomatic cervical ribs requires ahigh index of suspicion and detailed clinical evaluation to prevent inappropriate cervical spine surgery.
Dr. Iyidobi E C,
Department of Orthopaedics and Trauma, National Orthopaedic Hospital Enugu, Enugu, Nigeria.
E-mail: dreciyidobi@yahoo.com
Introduction: Cervical rib is a mesenchymal or cartilaginous elongation of the transverse process of usually the seventh, rarely the sixth, and very rarely the fifth cervical vertebrae. It is an important cause of thoracic outlet syndrome as it has been reported in 5–9% of patients with thoracic outlet syndrome. Bilateral cervical rib is a rare anomaly with a prevalence of 0.56% in Enugu, South Eastern Nigeria. This case is reported to emphasize the possibility of bilateral cervical rib as a cause of thoracic outlet syndrome in our environment.
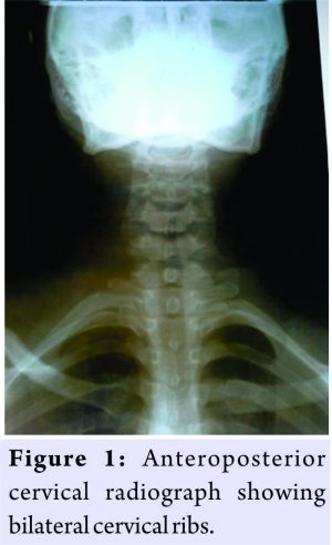
Case Report: A 28-year-old female soldier was referred to the spine surgery unit with neck and right shoulder pain of 3 years duration. Pain radiated into the hand and was worsened at night and by elevation of the right upper limb as well as the use of the limb. She had episodes of paresthesia, loss of sensation to both fine and crude touch at C8 and T1 dermatomes, coldness, and swelling of the right upper limb. Right-hand interossei muscle power was 4/5 (MRC grading).X-rays of the cervical spine showed bilateral cervical ribs which were longer on the right than on the left. Magnetic resonance imaging of the cervical spine showed short segment cervical cord syrinx formation at C2/C3 level and bilateral cervical rib with brachial plexus compression on the right side. Right cervical rib excision was done under general anesthesia through an anterior approach with the patient in supine position. Intraoperative findings were of a complete cervical rib. There was complete resolution of all symptoms by the 5-month follow-up visit.8 months after the initial operation, she re-presented at the outpatient department with similar symptoms on the left upper limb. She had excision of the left cervical rib which intraoperatively was noted to be an incomplete cervical rib with a fibrous cord tethering the brachial plexus. At 12-month follow-up visit, the patient had full resolution of all symptoms with the full use of both upper limbs.
Conclusion: ilateral cervical rib, though rare, is a possible differential diagnosis for neck and upper limb pain and neurologic claudication which can mimic cervical radiculopathy and myelopathy.
Keywords: Thoracic outlet obstruction, bilateral cervical ribs, neurological claudication.
Cervical rib is a mesenchymal or cartilaginous elongation of the transverse process of usually the seventh, rarely the sixth, and very rarely the fifth cervical vertebrae [1], it can be unilateral or bilateral. It appears as incomplete or completely developed bone that reaches as far anteriorly as the first thoracic rib with which they fuse. Incomplete ribs are often associated with fibrous bands. Bilateral cervical rib is a rare anomaly with a prevalence of 0.56% in Enugu, South Eastern Nigeria [2]. Cervical rib has an overall prevalence of 0.7% in the same population. It is, however, an important cause of thoracic outlet syndrome as it has been reported in 5–9% of patients with thoracic outlet syndrome [3,4]. The thoracic outlet is a triangle at the base of the neck bordered by the scalenus anterior and medius muscles, the first rib, and the clavicle. The subclavian artery and the lower trunk of the brachial plexus pass through this space. The presence of a cervical rib reduces the space forcing the neurovascular structures upward. These may thus become compressed leading to neurovascular symptoms and signs referred to as thoracic outlet syndrome [5].
A 28-year-old female soldier was referred to the spine surgery unit with right shoulder pain of 3 years duration. Pain radiated into the hand and was worsened at night and by elevation of the right upper limb. She had episodes of paresthesia, loss of sensation to both fine and crude touch at C8 and T1 dermatomes, coldness, and swelling of the right upper limb. Right-hand interossei muscle power was 4/5 (MRC grading). Anteroposterior X-rays of the cervical spine (Fig. 1) showed bilateral cervical ribs which were longer on the right than on the left. Magnetic resonance imaging of the cervical spine showed short segment cervical cord syrinx formation at C2/C3 level and bilateral cervical rib with brachial plexus compression on the right side. Right cervical rib excision was done under general anesthesia through an anterior approach (an 8cm longitudinal incision just above the right clavicle) with the patient in supine position. Intraoperative findings were of a complete cervical rib. Platysmal repairs over a drain then subcuticularethylone 2.0 closure. There was complete resolution of all symptoms by the 5-month follow-up visit. 8 months after the initial operation, she re-presented at the outpatient department with similar symptoms on the left upper limb. She had excision of the left cervical rib which intraoperatively was noted to be an incomplete cervical rib with a fibrous cord tethering the brachial plexus. At 12-month follow-up visit, the patient had full resolution of all symptoms with the full use of both upper limbs.

In the early fetal period, lateral costal processes form along each vertebrae along the entire spine. In the thorax, these elongate to form the ribs; however, in the rest of the spine, they fuse with the vertebrae to become the transverse processes [6]. Mutations in hox genes mediate the abnormal development of cervical ribs [6]. Galen (2nd century AD) and Vesalius (6th century) were the first to describe the cervical rib in detail [7]. Pilling in 1894 recorded the first case series on cervical ribs in which he collated 139 cases of cervical ribs of which 3 were symptomatic [8]. Cote in 1861 published the first surgical excision for symptomatic cervical rib [9]. In 1869, Gruber proposed a classification of cervical rib based on the amount of bone present and the thickness of the rib-like structure which was later modified by Blanchard[10,11]. This classification is divided into five types:
Type 1: Complete cervical rib attached to the sternum
Type 2: Cartilage of the cervical rib is attached to cartilage of the first rib
Type 3: The two extremities of the ribs are developed as bone structures, but the intermediate portion is a fibrous cord
Type 4: The two extremities are developed but not united by a fibrous cord
Type 5: The cervical rib is represented by a segment attached to the vertebrae, no anterior extremity exists.
The relevance of this classification is that, even when radiographs show a prominence of the C7 vertebral transverse processes, a fibrous cord can still exist compressing the neurovascular structures like in our patient on the left side. Even though cervical ribs occur more commonly on the left symptoms are common on the right due to more frequent use of the right, more drooping of the right shoulders in right-handed persons, and also due to the close proximity of the right plexus to the right rib [5]. Our patient first developed symptoms on the right. Women present more often with symptoms than men. Todd believes that it is due to the greater movement of the chest in women while Evan thinks that it is because deformities are noted more often by women [7]. The index patient is a woman. Even though the anomalyis congenital, symptoms occur around the age of 30 due to sagging of the shoulders with increasing age [5,8]. This puts more traction on the neurovascular structures giving rise to symptoms. The index patient developed symptoms at the age of 25 years. While cervical ribs may often be asymptomatic [12], when symptomatic patients can present with both vascular and neurogenic symptom as in the index patient. Neurogenic symptoms include pain radiating into the hand with paresthesias, weakness, and wasting of muscles in the affected limb and hand. Vascular symptoms range from coldness, swelling, and bluish discoloration of the limb. Cerebral embolus is a rare but noted complication as a result of retrograde flow from subclavian artery compression [13,14]. These symptoms may be attributed to other differential diagnosis like cervical stenosis and cervical spondylosis possibly leading to inappropriate cervical spine surgery. Operative excision of cervical ribs is indicated in the presence of severe pain, severe muscle wasting, or if there are vascular symptoms [5,8].
Bilateral cervical rib, though rare, is a possible differential diagnosis for neck and upper limb pain and neurologic claudication which can mimic cervical radiculopathy and myelopathy.
The above case report is to highlight bilateral cervical rib as a possible differential diagnosis for shoulder and upper limb neurologic symptomsas well as its treatment and outcome. High index of suspicion and detailed clinical evaluation is needed to prevent inappropriate cervical spine surgery.
References
- 1. Chung KW, Chung HM, Halliday NL. Board Review Series Gross Anatomy. 8th ed. Baltimore: Lippincott, Williams &Wilkins; 2012. p. 132. [Google Scholar] [PubMed]
- 2. Ezeofor SN, Njeze NR, Aghaji MN, Onuh AC, Obikili EN. The prevalence of cervical ribs in Enugu, Nigeria. Niger J Clin Pract 2016;19:513-6. [Google Scholar] [PubMed]
- 3. Sanders RJ, Haug CE. Thoracic Outlet Syndrome; A Common Sequelae of Neck Injuries. 1st ed. Philadelphia, PA: JB Lippincott; 1991. p. 21-33 [Google Scholar] [PubMed]
- 4. Etter LE. Osseous abnormalities of the thoracic cage seen in forty thousand consecutive chest roentgenograms. Am J Roentgenol 1994;51:359-63. [Google Scholar] [PubMed]
- 5. Warwick D, Srinivasan H, Solomon L. Peripheral nerve disorders. In: Warwick DS, Nayagam S, editors. Apley’s System of Orthopaedics and Fractures.9th ed. London: Hodder Arnold; 2010. p. 293-4. [Google Scholar] [PubMed]
- 6. Donahue DM. Cervical ribs and neurogenic thoracic outlet syndrome. In: Illig KA, Thompson RW, Freischlag JA, Donahue DM, Jordan SE, Edgelow PI, editors. Thoracic Outlet Syndrome. 1st ed. London: Springer Science and Business Media; 2013. p. 85. [Google Scholar] [PubMed]
- 7. Banerjee J, Ruma RK, Tripathy LP, Ghosh S. Cervical rib- ashort case study on features, incidence and clinical correlation. IOSR J Dent Med Sci 2015;14:48-51. [Google Scholar] [PubMed]
- 8. Keen KW. Symptomatology, diagnosis and surgical treatment of cervical rib. Am J Med Sci 1907;133:173-217. [Google Scholar] [PubMed]
- 9. Lokanayaki V. Cervical rib- a clinical case report. Natl J Clin Anat 2014;3:240-3. [Google Scholar] [PubMed]
- 10. Molina JE. New Techniques for Thoracic Outlet Syndrome. New York: Springer Science Business Media; 2013. p. 113-6. [Google Scholar] [PubMed]
- 11. Kammerer F. II. Cervical ribs. Ann Surg 1901;34:637-48. [Google Scholar] [PubMed]
- 12. Kolade- Yunnusa HO, Salaam AJ. Prevelence of cervical rib in an African population. Int Innov J Med Sci 2017;4:1-5. [Google Scholar] [PubMed]
- 13. Shucksmith HS. Cerebral and peripheral emboli caued by cervical ribs. Br Med J 1963;2:835-7. [Google Scholar] [PubMed]
- 14. Prior AI. Wilson LA, Goslin RG, Yales AK, Russel RR. Retrograde cerebral embolism. Lancet 1979;314:1044-7. [Google Scholar] [PubMed]








