Ochronotic arthropathy can have varied clinical presentations, and when there is shoulder involvement, arthroscopy can help in diagnosis as well as management.
Dr. V Kiran, Department of Orthopaedics, Manipal Hospital Whitefield, Bengaluru-560066 Karnataka, India. E-mail: v.kiran.mys@gmail.com
Introduction: Alkaptonuria is a metabolic disorder due to accumulation of homogentisic acid, leading to destruction of major joints. Very few cases of ochronosis with shoulder involvement have been reported in literature.
Case Report: We report a 31-year-old male who presented with shoulder pain for 4 months. Clinical examination and magnetic resonance imaging showed tear of the long head of biceps tendon and labral tear. On arthroscopy, we discovered that there was blackish discoloration of the glenoid rim. On investigating further, homogentisic aciduria was found (865; normal value <0.99), suggesting a diagnosis of alkaptonuria. Our patient had relief of symptoms following debridement and biceps tenodesis at 12 weeks.
Conclusion: Arthroscopy helps in the diagnosis and treatment of ochronosis with shoulder involvement.
Keywords: Ochronosis, alkaptonuria, arthropathy, arthroscopy, homogentisic acid.
Alkaptonuria is an inborn error of metabolism and was first described by Garrod in 1908. It is an autosomal recessive disorder in which homogentisate 1,2-dioxygenase is found to be defective [1]. This leads to the accumulation of homogentisic acid in collagen-rich connective tissue such as ligaments, tendons, and cartilaginous joints. These deposits lead to the formation of plaques that give the characteristic blackish discoloration of the tissues seen in alkaptonuria [2]. The accumulation of polymerized homogentisic acid in joints and ligaments incites an inflammatory reaction and causes damage in these structures. Interestingly, the small joints of the hand and the feet are not commonly involved [3]. Ochronosis is a rare disease with incidence ranging from 1:2,00,000 to 1:10,00,000, although an increased prevalence is seen in Dominican republic and Slovakia of up to 1:19,000 [1]. We report an interesting case of ochronosis with the involvement of the shoulder joint. We conducted this study in compliance with the principles of the declaration of Helsinki. Written informed consent was obtained.
A 31-year-old male presented with pain and stiffness in the right shoulder for 4 months. There was no history of preceding trauma. He also complained of pain in the low back for 2 years, pain in the right hip for 1 year, and pain in the right knee for 1 year. Clinical examination revealed brownish pigmentation of the sclera (Fig. 1). There was tenderness of the biceps, decreased internal rotation (D3/L1), and a positive Yergason and speed test.

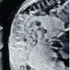
X-ray of the lumbosacral spine showed loss of disc spaces with calcification (Fig. 2). Magnetic resonance imaging of the right shoulder revealed fluid around the long head of the biceps tendon and an anterior labral tear extending from 3’o clock to 6’o clock position (Fig. 3). On arthroscopy, it was found that there was brownish-black discoloration of the glenoid rim with fraying and degeneration of the articular cartilage (Fig. 4). The long head of the biceps showed fraying and had ruptured from its origin in the supraglenoid tubercle. This was an unusual finding given the patient’s age.

Arthroscopic biceps tenodesis and labral repair were performed using suture anchors (Fig. 5). Fraying of the cartilage was debrided. Postoperatively, laboratory investigations showed an increase in the homogentisic acid levels in the urine (865; normal value <0.99) diagnostic of alkaptonuria. On probing further, the patient revealed that his parents had noticed dark discoloration of the diapers when he was an infant and no specific diagnosis was made at the time. This history is classically seen in alkaptonuria [2]. He was advised physiotherapy of the shoulder, passive range of movement, and isometric shoulder strengthening exercises. He reports an improvement in his symptoms at 3 months of follow-up.
Alkaptonuria is a rare metabolic disorder that results in arthropathy and tendinopathy. The large joints of the knee and the hips are most commonly affected, followed by the shoulder. There is involvement of the shoulder in more than 40% of the cases [4]. Homogentisic acid accumulates and polymerizes in these tissues, forming the ochronotic pigment [5]. Shimizu et al. described the mechanism of destruction of cartilage and ligaments by degradation of the proteoglycans by the ochronotic pigment [6]. Patients usually remain asymptomatic till middle age and may present later due to reduced clearance of homogentisic acid, as the age progresses [2]. Due to its rarity, this condition is most often discovered incidentally during surgery [6]. Patients can present with backache, reduced hearing, diminution of vision, osteoarthritis, aortic valve stenosis, and blackish discoloration of the urine [4]. Spontaneous ruptures of large tendons including the Achilles and the patellar tendon have been reported in literature [5], but long head of biceps tendon rupture has not been previously reported. Histologically, there will be hyperplastic synoviocytes, giant cells, pigment containing macrophages, and fibrosis [7]. Ochronotic pigment deposition in the tendons can lead to their thickening and eventual rupture [8]. The treatment in such a situation has also not been described. Ochronosis is treated conservatively with tyrosine-restricted diet, vitamin C, and nitisinone, though the results of such treatment have not been conclusively proven to be effective [9]. Advanced arthritis of major joints can be treated by arthroplasty [6]. Castagna et al. reported a case of ochronotic arthropathy of the shoulder, for which they performed arthroscopic debridement of the fraying and tenotomy of the biceps tendon. Their subject showed initial clinical improvement followed by gradual clinical deterioration after 1 year [10]. We have described a similar involvement of the shoulder joint, although the biceps tendon had spontaneously ruptured in our subject. Arthroscopy helped in arriving at the diagnosis, as well as in relieving the symptoms through debridement, labral repair, and biceps tenodesis. The limitation of this case report is a relatively short follow-up period of 3 months.
Our case report demonstrates the effectiveness of arthroscopy in diagnosing and managing ochronotic arthropathy of the shoulder. It also contributes to the growing knowledge of this rare condition and can assist surgeons who may come across similar presentations in the future.
Ochronosis is a very rare disease and is difficult to diagnose preoperatively. This case report provides insight into arriving at the diagnosis of ochronosis and the management options available when the clinicians are faced with a similar situation.
References
- 1.Lal M, Thakur M, Kashyap S. Alkaptonuric ochronosis. Orthopedics 2014;37:e1141-9. [Google Scholar | PubMed]
- 2.Gil JA, Wawrzynski J, Waryasz GR. Orthopedic manifestations of ochronosis: Pathophysiology, presentation, diagnosis, and management. Am J Med 2016;129:536.e1-6. [Google Scholar | PubMed]
- 3.Harun M, Hayrettin Y, Serhat M, Cuneyt M, Fırat F, Ufuk O. A rare cause of arthropathy: An ochronotic patient with black joints. Int J Surg Case Rep 2014;5:554-7. [Google Scholar | PubMed]
- 4.Doganavsargil B, Pehlivanoglu B, Bicer EK, Argin M, Bingul KB, Sezak M, et al. Black joint and synovia: Histopathological evaluation of degenerative joint disease due to Ochronosis. Pathol Res Pract 2015;211:470-7. [Google Scholar | PubMed]
- 5.Alajoulin OA, Alsbou MS, Ja’afreh SO, Kalbouneh HM. Spontaneous Achilles tendon rupture in alkaptonuria. Saudi Med J 2015;36:1486-9. [Google Scholar | PubMed]
- 6.Shimizu I, Hamada T, Khalpey Z, Miyanishi K, Hara T. Ochronotic arthropathy: Pathological evidence of acute destruction of the hip joint. Clin Rheumatol 2007;26:1189-91. [Google Scholar | PubMed]
- 7.Mannoni A, Selvi E, Lorenzini S, Giorgi M, Airó P, Cammelli D, et al. Alkaptonuria, ochronosis, and ochronotic arthropathy. Semin Arthritis Rheum 2004;33:239-48. [Google Scholar | PubMed]
- 8.Tóth K, Kiss-Láaszló Z, Lénárt E, Juhász K, Takács K, Bender T, et al. Familiar ochronotic arthropathy-caused by a gene mutation traced three hundred years. Joint Bone Spine 2010;77:355-7. [Google Scholar | PubMed]
- 9.Ranganath LR, Jarvis JC, Gallagher JA. Recent advances in management of alkaptonuria (invited review; best practice article). J Clin Pathol 2013;66:367-73. [Google Scholar | PubMed]
- 10.Castagna A, Giombini A, Vinanti G, Massazza G, Pigozzi F. Arthroscopic treatment of shoulder ochronotic arthropathy: A case report and review of literature. Knee Surg Sports Traumatol Arthrosc 2006;14:176-81. [Google Scholar | PubMed]











