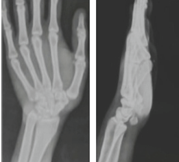
Flexor Carpi Radialis Tendon Stabilization for Chronic First Carpometacarpal Joint Instability: Clinical Outcomes from a Case Report
Akshay Punekar , Santosh D Ghoti , Mohammed Amjad Sohiel , Niranjan Sunil Ghag , Alok Yadav , Aditya A Agarwal
………………………………p.156-161
