Management of Ipsilateral Pilon with Calcaneal Fractures: A Rare Case Report
Siddhart Yadav , K P Chiranjeevi , Akash Singh Jadon , Dharm Bedwal , Sameer Pandey
………………………………p.102-106
Management of Ipsilateral Pilon with Calcaneal Fractures: A Rare Case Report
Siddhart Yadav , K P Chiranjeevi , Akash Singh Jadon , Dharm Bedwal , Sameer Pandey
………………………………p.102-106
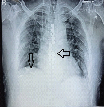
A Devastating Chest Injury: A Case Report
Bikram Keshari Kar , Sudarshan Behera , Nitin Kashyap , Rudra Narayan Dash , Rakesh Dhaka
………………………………p.107-112
Giant Cell Tumor of the Proximal Femur with Pathological Fracture of Femoral neck
Gagandeep Gupta , Abhishek Singh , Shivang Kala , Akhilesh Saini , Shristi Singh , Sopan Shende
………………………………p.113-118
A Novel Seven-Day Abbreviated Two-Stage Exchange Arthroplasty with Intra-Articular Antibiotic Irrigation for Chronic Periprosthetic Joint Infection of the Knee: A Case Report
Nicolas S Piuzzi , Ignacio Pasqualini , Shujaa T Khan , Bryan D Springer , Brian C De Beaubien
………………………………p.119-125
Total Knee Arthroplasty following Genicular Artery Embolization: A Case Report
G Varun Prasad , Mohammad Salil , Jai Thilak
………………………………p.126-130
Transtrochanteric Transverse Fracture of Proximal Femur in Pediatric Child: A Rare Variant: Case Report and Surgical Management
S Rohinth , KR Tarun Prashanth , M R Thirunthaiyan , R Dorai Kumar , B Sundararaja
………………………………p.131-135
A Rare Case Report of Giant Cell Tumor in Metacarpal Bone
Tarun Teja , Sandeep Shrivastava , Raghvendra Singh , Shreenivas Nalhe , Vinit Rathod
………………………………p.136-140
Can a Traumatic Pipkin Fracture – Dislocation and Ipsilateral Knee Dislocation Occur Simultaneously? A Rare Case Report with Mid-Term Follow-Up
R Ragunath , K Tarun Prashanth , M R Thirunthaiyan , R Dorai Kumar , B Sundararaja
………………………………p.141-147
Bilateral Kohler’s Disease in a 5-Year-Old Girl: A Case Report
Furkan Soy , Ibrahim Deniz Canbeyli , Meric Cirpar , Yasin Kozan , Sancar Serbest
………………………………p.148-150
Osteoid Osteoma of the Femoral Neck Masquerading as Avascular Necrosis: A Diagnostic Dilemma and Management Success Story
Amit Kale , Sahil Chowdhary
………………………………p.151-155