The Clinico-Radiological Effect of Vitamin D in Treatment of Osteoarthritis of the Knee: A Randomized Control Trial
Siddharth Singh , Amit Saraf , Sudhir Singh , S Krishna Kumar
………………………………p.220-225
The Clinico-Radiological Effect of Vitamin D in Treatment of Osteoarthritis of the Knee: A Randomized Control Trial
Siddharth Singh , Amit Saraf , Sudhir Singh , S Krishna Kumar
………………………………p.220-225
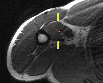
Rare Case of Musculocutaneous Neuropathy in a Professional Baseball Pitcher
Nareka A. Trewick , Olivia B de Araujo , Kerven Cassion , Shelby Burks , Andrew L Sherman , Jean Jose
………………………………p.226-230
Simultaneous Bilateral Anterior Shoulder Dislocation Following Epileptic Seizure in a Middle-Aged Male: A Rare Case Report and Review of Literature
Balakrishnan Karun , Vejaya Kumar , Moodu Jayanth , Bharathidasan Rajamanickam , Saravanan Kasirajan
………………………………p.231-235
Neglected Monteggia Fracture-Dislocation in an 8-Year-Old Child with Posterior Interosseous Nerve Palsy: A Case Report
Priti Ranjan Sinha , Pradeep Kumar Pathak , Bhavna Chopra , Pranjal Agrawal , Nikhil Gupta , Dhairya H Shah
………………………………p.236-241
One-stage Anterior Cruciate Ligament Reconstruction with Medial Open Wedge High Tibial Osteotomy – A Surgical Technique
Dhruv A Shah , Nilesh Vishwakarma , Siddharth Gunay
………………………………p.242-248
Musculoskeletal Occupational Injuries among Orthopedic Surgeons: Risk Factors and Insights from a Cross-Sectional Study
Sathish Muthu , Girinivasan Chellamuthu , Akilan Chinnappan , Srujun Vadranapu , Naveen Jeyaraman , Madhan Jeyaraman
………………………………p.249-255
Giant Cell Tumor of the Tendon Sheath: Case Series and Review of Literature
Naman K Parakh , S Krishna Kumar , Siddharth Jain , Parin Shah
………………………………p.256-260
Outcome Assessment of Femoral Shaft Fractures Managed by Nailing and Derotation Plating
Ismail Pandor , Abhishek Sharma , Aamir Shahzad , Fahim Ali , Alim Shaikh , Anshuraj Jagdale
………………………………p.261-265
Alterartions of Cervical Lordosis in Neck Pain Patients
Sudhir Singh , Vibhor Daksh , Naman K Parakh , Vijay Pratap Singh ………………………………p.266-273
Failed Primary Fixation of Monteggia Fractures – A Case Series
Sujata Aiyer , Yogesh Mudholkar , Ravi Trivedi , Apoorv Gota , Aniket Wankhede , Saiprasad Madavi
………………………………p.274-279