Long-standing synovial hemangiomas which are localized with spared articular cartilage have a good prognosis with arthroscopic synovectomy.
Dr. Akshdeep Singh Bawa,
N32 Dayanand Medical College, Tagore Nagar, Ludhiana – 141 001, Punjab, India.
E-mail: bawa.akshdeep@gmail.com
Introduction: Synovial hemangioma is a rare condition with <200 published case reports in world literature and is frequently misdiagnosed, leading to diagnostic delay of many years. This delay is even more significant if the patient comes from a rural background with a dearth of medical facilities in the area. This case had a lag of nearly 20 years from the time of onset of symptoms and the required management which is the maximum reported for any synovial hemangioma since most of them have been found and treated in adolescents.
Case Report: We present a case of an atypical synovial hemangioma in a 25-year-old Indian male from a poor socioeconomic background with a delay of 20 years who had both recurrent knee effusions and long-standing knee pain but kept ignoring his symptoms. It was managed by arthroscopic synovectomy. The patient reported to us after 2 years after the surgery with a painless knee and full range of movement.
Conclusion: Synovial hemangioma mostly affects the knee joint, showing recurrent bloody effusions without a history of trauma. If there are no intermittent effusions, the diagnosis will be even more difficult. In cases of non-specific symptoms and long-standing knee pain of many years, the diagnosis of a synovial hemangioma should also be considered. In this particular case, magnetic resonance imaging was used to evaluate the patient after the plain radiographs and showed characteristic lace-like or linear patterns. Diagnostic arthroscopy and surgical excision were done in the same sitting, and biopsy was sent to the histopathology laboratory which confirmed our diagnosis. Although this patient had the disease since 20 years and presented late, he had little degeneration of cartilage at the time of arthroscopy. The functional outcome at 2-year follow-up was excellent, and he had no disability, effusion and was pain free.
Keywords: Synovial hemangioma, presentation in adult, arthroscopic synovectomy.
Hemangiomas of bone constitute 1% of all primary bone tumors. The soft tissue types are even less common and often arise in the skin and subcutaneous tissue. Muscle and synovial linings are less frequent sites of origin. Since the first case was described by Bouchut in 1856, fewer than 200 cases have been reported. Most cases have been the intra-articular and intermediate type of hemangiohamartoma, another form of vascular tumor of the leg representing an arteriovenous malformation which involves the synovia and causes intra-articular bleeding. Only a few of these have been true synovial hemangioma [1,2]. Usually, the patient presents with a history of recurrent atraumatic bloody effusions [2,3,4]. Non-specific presentations are also common and may lead to a diagnostic delay of many years [5]. We present the case of an atypical synovial hemangioma of the knee joint, having no single bloody effusion. Treatment methods have varied in the past. Angiography can help to find some feeder vessels, and embolization can be done in the same session. In the absence of specific vessels to embolize, surgical excision, either done per arthroscopy or per arthrotomy, is the treatment of choice.
A 25-year-old Indian male presented with a history of pain and swelling in his right knee joint for 20 years for which he had received previous treatment in the form of simple analgesics only and had never reported to an Orthopedician. His physical examination revealed a soft, non-tender, palpable 3 cm × 3 cm mass on the lateral aspect of his right knee. In full flexion, the mass appeared more pronounced. It was compressible and filled back when the pressure was released. He denied any history of trauma, but there was a history of recurrent effusion in his knee. The patient had a near normal range of motion and no signs of instability. McMurray and Apley’s tests were negative. There was no difference in leg length, and there were no cutaneous lesions. Laboratory tests, including a complete coagulation profile, were all within normal range, and his medical, developmental, and family histories were unremarkable. Plain radiographs and magnetic resonance imaging (MRI) scans were obtained (Fig. 1, 2, and 3).

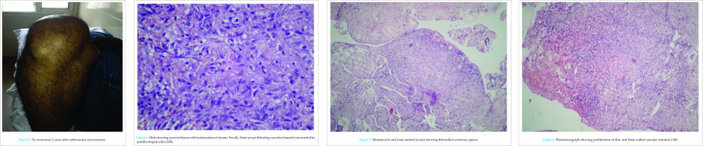
The plain radiographs showed no abnormality, but the MRI was suggestive of a vascular synovial tumor and the differentials kept were synovial hemangioma and synovial sarcoma. Diagnostic arthroscopy and incisional biopsy were done in the same sitting. The mass was excised completely, and synovectomy around the medial patella-femoral compartment was done in the same sitting (Fig. 4, 5). Some surrounding tissue showing bluish discoloration/inflammation was cauterized to prevent post-operative hemorrhage. The biopsy specimen was 4 cm in diameter, measuring synovial tissue. An intraoperative frozen section showed a hemangioma with huge, cavernous spaces but also containing capillary vessels. The final histological evaluation confirmed a cavernous synovial hemangioma (Fig. 6, 7, and 8). Post-operative period was uneventful with no recurrent effusion.
Synovial hemangiomas are rare intra-articular tumors of the knee in children and young adults which are often diagnosed late [6]. There is usually a history of recurrent atraumatic painless bloody effusions as was the case in our patient. Plain films are often of poor diagnostic value because they are normal in over half of patients, and in other cases, they show soft tissue density, suggesting joint effusion or a mass. They may contain phleboliths or amorphous calcifications; this is thought to be pathognomonic. In <5% of patients, they show periosteal reaction, cortical destruction, osteoporosis, advanced maturation of the epiphyses, and a discrepancy in leg length or even arthropathy simulating hemophilia. MRI offers superior tissue contrast and is more accurate than computed tomography in defining the size and extent of a soft tissue lesion as well as the presence of any chondral degeneration [7]. It has become the main diagnostic method for the diagnosis and treatment planning of synovial lesions [8,9]. The differential diagnosis should include mainly – pigmented villonodular synovitis (PVNS) and synovial sarcoma, other arthropathies (rheumatoid arthritis, juvenile chronic arthritis, hemophilic arthropathy, synovial osteochondromatosis, or lipoma arborescens) usually being distinguished clinically or after MRI interpretation [10,11,12]. Ideally, the synovial hemangiomas should be treated early because of their tendency to cause recurrent effusions leading to chondral damage and secondary degeneration. Bennet and Cobey classified synovial hemangiomas as either localized, which had a good prognosis, less chances of recurrence and relatively spared articular cartilage, and diffuse type which are difficult to resect arthroscopically and had greater chances of recurrence.

The average age at onset is 10.9 years for girls and 12.5 years for boys, and intra-articular hemangioma of the knee is very rare before adolescence [13]. The differential diagnosis should include mainly PVNS, synovial sarcoma, and arthropathies (rheumatoid arthritis, hemophilic arthropathy, synovial osteochondromatosis, or lipoma arborescens) [14‑17]. As misdiagnosis is common, intra-articular hemangioma should be considered in skeletally immature patients who present with recurrent effusion and pain in the knee. Orthopedicians must exercise a high index of suspicion, as prompt diagnosis and treatment can prevent progressive secondary degeneration of the joint. Pre-operative consultation of a vascular surgeon to consider embolization may be necessary in the diffuse variety of hemangioma [18]. The anteromedial portion of the knee is typically involved in the localized type which is manageable with arthroscopic excision and have spared articular cartilage. Open excision is necessary in large lesions which have infiltration into surrounding muscles [19].
Long-standing synovial hemangiomas which are localized with spared articular cartilage have a good prognosis with arthroscopic synovectomy.
References
- 1. Akgün I, Kesmezacar H, Ogüt T, Dervisoglu S. Intra-articular hemangioma of the knee. Arthroscopy 2003;19(3):E17.1. Akgün I, Kesmezacar H, Ogüt T, Dervisoglu S. Intra-articular hemangioma of the knee. Arthroscopy 2003;19(3):E17. [Google Scholar] [PubMed]
- 2. Durieux S, Brugieres P, Voisin MC, Goutallier D, Larget-Piet B, Chevalier X. Radiologic vignette. Arthritis Rheum 1995;38(4):559-564. [Google Scholar] [PubMed]
- 3. Jacobs JE, Lee FW. Hemangioma of the knee joint. J Bone Joint Surg Am 1949;31A(4):831-836. [Google Scholar] [PubMed]
- 4. Linson MA, Posner IP. Synovial hemangioma as a cause of recurrent knee effusions. JAMA 1979;242(20):2214-2215. [Google Scholar] [PubMed]
- 5. Winzenberg T, Ma D, Taplin P, Parker A, Jones G. Synovial haemangioma of the knee: A case report. Clin Rheumatol 2006;25(5):753-755. [Google Scholar] [PubMed]
- 6. Suh JT, Cheon SJ, Choi SJ. Synovial hemangioma of the knee. Arthroscopy 2003;19(7):E27-E30. [Google Scholar] [PubMed]
- 7. Wong KA, Singh VA, Pailoor J. Intra-articular haemangioma of the knee in the skeletally immature. Singapore Med J 2013;54(11):e228-e229. [Google Scholar] [PubMed]
- 8. Cotten A, Flipo RM, Herbaux B, Gougeon F, Lecomte-Houcke M, Chastanet P. Synovial haemangioma of the knee: A frequently misdiagnosed lesion. Skeletal Radiol 1995;24(4):257-261. [Google Scholar] [PubMed]
- 9. Ramseier LE, Exner GU. Arthropathy of the knee joint caused by synovial hemangioma. J Pediatr Orthop 2004;24(1):83-86. [Google Scholar] [PubMed]
- 10. Narváez JA, Narváez J, Aguilera C, De Lama E, Portabella F. MR imaging of synovial tumors and tumor-like lesions. Eur Radiol 2001;11(12):2549-2560. [Google Scholar] [PubMed]
- 11. Greenspan A, McGahan JP, Vogelsang P, Szabo RM. Imaging strategies in the evaluation of soft-tissue hemangiomas of the extremities: Correlation of the findings of plain radiography, angiography, CT, MRI, and ultrasonography in 12 histologically proven cases. Skeletal Radiol 1992;21(1):11-18. [Google Scholar] [PubMed]
- 12. Juhl M, Krebs B. Arthroscopy and synovial hemangioma or giant cell tumour of the knee. Arch Orthop Trauma Surg 1989;108(4):250-252. [Google Scholar] [PubMed]
- 13. Moon NF. Synovial hemangioma of the knee joint. A review of previously reported cases and inclusion of two new cases. Clin Orthop Relat Res 1973;90:183-190. [Google Scholar] [PubMed]
- 14. Guler I, Nayman A, Koplay M, Paksoy Y. Synovial hemangioma of the knee joint: Magnetic resonance imaging findings. Pol J Radiol 2015;80:450-452. [Google Scholar] [PubMed]
- 15. Rajni, Khanna G, Gupta A, Gupta V. Synovial hemangioma: A rare benign synovial lesion. Indian J Pathol Microbiol 2008;51(2):257-258. [Google Scholar] [PubMed]
- 16. Bennett GE, Cobey MC. Hemangioma of joints: Report of five cases. Arch Surg 1939;38:487-500. [Google Scholar] [PubMed]
- 17. Goki-Kamei GK, Norimasa-Matsubara NM, Teruyasu-Tanaka TT, Koji-Natsu KN, Toshihiro-Sugioka TS. Intra-articular localized haemangioma of the knee mimicking localized pigmented villonodular synovitis: A case report. Malays Orthop J 2017;11(1):60-63. [Google Scholar] [PubMed]
- 18. Colanese J, Cil A, Egekeze N, Lankachandra K, Kotwal S. Case report of mimicry between synovial hemangioma and synovial chondromatosis of the shoulder. J Orthop Case Rep 2016;6(4):88-91. [Google Scholar] [PubMed]
- 19. Choudhari P, Ajmera A. Haemangioma of knee joint: A case report. Malays Orthop J 2014;8(2):43-45. [Google Scholar] [PubMed]




