Suspecting giant cell tumor even in atypical sites such as the metacarpal, diagnosis followed by definitive treatment in a single surgical intervention.
Dr. Tarun Teja, Department of Orthopaedics, Acharya Vinoba Bhave Rural Hospital, Datta Meghe Institute of Higher Education and Research, Sawangi (Meghe), Wardha, Maharashtra, India. E-mail: kollutarunteja0407@gmail.com
Introduction: Giant cell tumor (GCT), also known as osteoclastoma, is an osteolytic, predominantly benign yet locally aggressive neoplasm that manifests in young adults within the meta-epiphyseal region of long bones, specifically the distal femur, proximal tibia, distal radius, and proximal humerus, in that order of prevalence. GCT of the metacarpal (MC) exhibits distinct characteristics compared to other long bones. It exhibits more aggressive behavior with involvement of the entire length of the MC and expansion into the soft tissue. Literature reports an incidence of 1.7% for GCT of MC.
Case Report: We report a 43-year-old female who visited the hospital with left hand swelling for 8 months that gradually progressed and localized mass over the dorsum of the medial aspect of the hand. MRI revealed an enchondroma-like benign bone lesion of the fourth MC in the meta diaphyseal area. The patient was scheduled for an en bloc excision with bone grafting from fibula with fusion of MC and MC phalangeal joints and K-wire fixation at the MC region. On exposure, the gross appearance revealed the lesion to be likely GT, and the histological findings confirmed the diagnosis of GCT, demonstrating multinucleated large cells and mononucleated stromal cells.
Conclusion: The meta-diaphysis of small hand bone GCT is a rare occurrence at the site of MC. This case is hence reported for the same reason.
Keywords: Giant cell tumor, metacarpal, metadiaphyseal region.
The giant cell tumor (GCT) of the hand is a rare lesion that is typically diagnosed in advanced stages and exhibits a high recurrence rate. GCT of bone (GCTB) is currently categorized as a predominantly osteoclastogenic stromal cell neoplasm of mesenchymal origin in the literature. This tumor comprises neoplastic mononuclear stromal cells, mononuclear monocyte cells, and multinucleated giant cells. Clinical imaging is crucial for diagnosing GCTB. This sort of tumor in the hand is typically more central and less eccentric [1]. Averill et al. classified GCTB into three grades: Grade-1, quiescent, is a static variant with minimal cortical involvement; Grade-2, active, is marked by a thinned and bulging cortex; and Grade-3, aggressive, is defined by a lesion that invades the cortex and incorporates a soft tissue component [2]. It typically impacts the meta-epiphyseal region of long bones, including the distal femur, proximal tibia, distal radius, and proximal humerus, in declining order of prevalence [3]. GCT of bone constitutes approximately 4–9.5% of all initial bone tumors [4]. GCT of the hand is uncommon, representing 2–4% of all GCT cases [5]. Unni documents an incidence of 1.7% for GCT of the metacarpals (MCs). Biscalgia has documented a 1% incidence of GCT of the MC [6]. Averill et al. documented an incidence of <1.5% in MC bones, although Huvos reported 3.7% and Mirra et al. reported 4% for GCT of the hand, encompassing MC bones [7]. The GCT of the MC has distinct properties compared to other long bones. The behavior is more aggressive, involving the entire length of the MC with soft-tissue extension, attributed to restricted free space and heightened sensitivity of the hand. Even a little hand injury can result in considerable swelling, pain, and impairment. It occurs predominantly in young people with more aggressive courses. It occurs commonly in adults between the ages of 20 and 40 years, with a female preponderance [3,4]. In two decades at our center, only 25 GCTB have been diagnosed, with only three in small bones, two were in MC, and this is the first case of MC at our center. In this report, we present a case of GCT masquerading clinically and radiologically as enchondroma over the fourth MC.
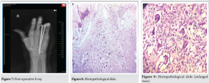
A 43-year-old female visited to hospital with a complaint of swelling over her left hand for 8 months, which was gradually progressive in nature and not associated with any diurnal variation. She had difficulty doing day-to-day normal activities. She was admitted for further examination and diagnosis. On examination, the skin was normal, no dilated veins were seen, but selling can be seen over the dorsal aspect of the hand. Palpation, no local rise of temperature, hand swelling of size 4 × 3 cm palpable over left hand, active finger and wrist movement’s present, distal sensation and circulation present and swelling was hard in consistency margins irregular, edges not palpable, non-fluctuating (Fig. 1). No significant past or family history found, no deleterious habit was present. Vitals were checked, and a complete physical examination was done. Investigations such as X-ray and MRI were done preoperatively (Fig. 2 and 3).

MRI report shows a well-defined altered intensity signal mass lesion involving the fourth MC in distal metal-diaphyseal appearing heterogeneously hypointense on T1W1, heterogeneously mildly hyperintense on T2W1, and shows internal T1/T2 hypointense areas. Lesion measures of 2.3 × 2.3 × 5 cm (AP × TR × CC). Findings give a suggestion of a benign bone lesion likely of enchondroma. After a thorough pre-operative examination and assessment of operative fitness, the patient was scheduled for en bloc excision of the mass with bone grafting from fibula with K-wire fixation over fourth MC of the right hand (Figs. 3-6c) On operation, the gross appearance of the lesion is likely to be a giant cell tumor. It was done without any complications (Fig. 7). Excised mass was sent for histopathological examination.

Histological findings (Fig. 8 and 9) confirmed the diagnosis of GCT, demonstrating multinucleated large cells and mononuclear stromal cells. The stromal cells exhibited round, oval, or spindle shapes, characterized by eosinophilic cytoplasm and nuclei containing scattered chromatin. At a 3-month follow-up, the range of motion had reverted to a functional level, with satisfactory graft incorporation, and no additional problems were seen (Fig. 10 and 11). No recurrence was observed during later follow-ups, and the patient attained an acceptable and tolerable range of motion. A routine chest radiograph was performed to exclude metastasis, and no evidence of metastasis was observed in subsequent follow-ups.

GCT of bone affecting the hand is an uncommon lesion, typically detected at an advanced stage, with a significant recurrence rate [4]. GCT is characterized as a mostly osteoclastogenic stromal cell neoplasm of mesenchymal origin. The metaphyseal area of the MCs and phalanges is a prevalent location of origin in the hand. The hand possesses restricted free space and heightened sensitivity; hence, even a minor mass can induce considerable swelling, pain, and impairment [3]. In 18% of cases of hand GCT, it is multicentric [3]. The radiological observation of GCT features a clearly delineated lytic lesion, eccentrically positioned in the meta-epiphyseal area of long bones; however, in the hand, it is more frequently central. The brain is typically attenuated without any periosteal response [10]. Campanacci et al. categorized GCT of bones into three grades: Grade 1 exhibits limited cortical involvement; Grade 2 features a thinning and bulging cortex; and Grade 3 demonstrates cortical breach with soft tissue involvement [4]. Computed tomography (CT) and magnetic resonance imaging (MRI) are crucial for the evaluation and staging of GCT. CT is advantageous for assessing cortical bone, particularly for cortical thinning, pathological fractures, periosteal reactions, and the lack of matrix mineralization. MRI is better than CT in instances of cortical breach and soft-tissue involvement. MRI also aids in identifying the fluid-fluid level characteristic of an aneurysmal bone cyst. The macroscopic appearance is often soft, squishy, and light brown in hue. Histologic examination reveals large cells uniformly dispersed within a bland mononuclear round to oval stromal cell background. The identification of large cells is not definitive for diagnosing GCT [10]. Giant cells are also seen in aneurysmal bone cysts, chondroblastoma, brown tumors associated with hyperparathyroidism, non-ossifying fibroma, and giant cell granuloma [10-12]. Curettage, curettage with bone graft, en bloc resection, amputation, and resection with reconstruction are treatment options cited in the literature [2]. However, curettage alone or in conjunction with bone grafting is ineffectual, even for GCT of the long bones and hand [2,6]. This surgery results in a skeletal deficiency, requiring complex reconstructive procedures using autografts, allografts, or synthetic implant replacement [7]. Chemical adjuvants, including phenol, can be employed as cytotoxic agents. In cases of uncontrolled recurrence, en bloc resection is utilized as a final recourse [11]. Moreover, various cavitary adjuvant therapeutic methods are now commonly employed to attain satisfactory local control, resulting in a recurrence rate of 6–25% [11,12]. The histologic diagnosis aids in resolving issues, and identifying diagnostic regions for GCT is essential. However, at times, when material is inadequate, differentiating this condition from other giant cell-rich lesions may be impossible. GCTs of the hand and foot have a more aggressive behavior relative to other giant cell-rich lesions and the overall behavior of GCTs, despite the limited number of cases in our sample. The histologic diagnosis aids in resolving issues, and identifying diagnostic areas for GCT is essential. GCT is recognized for its propensity to recur, with the highest incidence observed within the initial 24 months [2]. A recurring case management strategy, conversely, parallels that of the first GCT.
Despite the rarity of GCTs in hand bones, recognition of their occurrence is crucial, as these lesions are more aggressive than other differentials and necessitate prompt treatment. Consequently, GCT should be included in the differential diagnosis of expansile lytic lesions in the tiny bones of the hand.
Diagnosing GCT in atypical sites such as MC and managing with excision and fibula grafting to obtain optimum clinical and radiological outcomes for the hand.
References
- 1.Yadav S, Singhal S, Patel S, Jaiswal S, Mishra R. A rare case of giant-cell tumor of hand in a young male. Cureus 2022;14:e21408. [Google Scholar | PubMed]
- 2.Averill RM, Smith RJ, Campbell CJ. Giant-cell tumors of the bones of the hand. J Hand Surg Am 1980;5:39-50. [Google Scholar | PubMed]
- 3.Shahid M, Varshney M, Maheshwari V, Mubeen A, Gaur K, Siddiqui M. Giant cell tumour of first metacarpal bone. BMJ Case Rep 2011;2011:bcr0120113687. [Google Scholar | PubMed]
- 4.Matev B, Georgiev H, Georgiev GP. Giant cell tumor of fourth metacarpal: Case report and literature review. J Radiother Med Oncol 2012;17:73-7. [Google Scholar | PubMed]
- 5.Al Lahham S, Al Hetmi T, Sharkawy M. Management of giant cell tumor occupying the 5th metacarpal bone in 6 years old child. Qatar Med J 2013;2013:38-41. [Google Scholar | PubMed]
- 6.Saikia KC, Bhuyan SK, Ahmed F, Chanda D. Giant cell tumor of the metacarpal bones. Indian J Orthop 2011;45:475-8. [Google Scholar | PubMed]
- 7.Sahu S. Reconstruction of metacarpal bone giant cell tumor by metatarsal bone. Int J Res Orthop 2016;2:32-5. [Google Scholar | PubMed]
- 8.Kim Y, Nizami S, Goto H, Lee FY. Modern interpretation of giant cell tumor of bone: Predominantly osteoclastogenic stromal tumor. Clin Orthop Surg 2012;4:107-16. [Google Scholar | PubMed]
- 9.Werner M. Giant cell tumor of bone: Morphological, biological and histogenetical aspects. Int Orthop 2006;30:484-9. [Google Scholar | PubMed]
- 10.McEnery KW, Raymond AK. Giant cell tumor of the fourth metacarpal. AJR Am J Roentgenol 1999;172:1092. [Google Scholar | PubMed]
- 11.Kulenovic E. Giant cell tumor. Appl Radiol 2008;37:37. [Google Scholar | PubMed]
- 12.Unni KK, Inwards CY. Dahlin’s Bone Tumors. Philadelphia, PA: Lippincott Williams and Wilkins; 2010. p. 364-8. [Google Scholar | PubMed]
- 13.Ropars M, Kaila R, Cannon SR, Briggs TW. Primary giant cell tumors of the digital bones of the hand. J Hand Surg Eur 2007;32:160-4. [Google Scholar | PubMed]
- 14.Adulkasem N, Pruksakorn D. Giant cell tumor of the middle phalanx of the middle finger. BMJ Case Rep 2019;12:e229076. [Google Scholar | PubMed]
- 15.Algawahmed H, Turcotte R, Farrokhyar F, Ghert M. High-speed burring with and without the use of surgical adjuvants in the intralesional management of giant cell tumor of bone: A systematic review and meta-analysis. Sarcoma 2010;2010:586090. [Google Scholar | PubMed]
- 16.Yu XC, Xu M, Song RX, Fu ZH, Liu XP. Long-term outcome of giant cell tumors of bone around the knee treated by en bloc resection of tumor and reconstruction with prosthesis. Orthop Surg 2010;2:211-7. [Google Scholar | PubMed]










