Surgical Management of Symptomatic Discoid Meniscus: A Case Report and Review of Outcomes
Gaurav Arora , Kuru Parvir , Angad Jolly , Anshu Anand Kantroo , Joy Hasmukhbhai Patel , Yash Chaliawala
………………………………p.152-156
Surgical Management of Symptomatic Discoid Meniscus: A Case Report and Review of Outcomes
Gaurav Arora , Kuru Parvir , Angad Jolly , Anshu Anand Kantroo , Joy Hasmukhbhai Patel , Yash Chaliawala
………………………………p.152-156
Simultaneous TKA and Revision of Post-ORIF Patellar Non-union with Bone Grafting: A Case Report
Hiroko Sakamoto , Masaki Nagashima , Ryo Sasaki , Kentaro Tanaka , Mitsuru Yagi
………………………………p.157-162
A Case Report of Acute on Chronic Osteomyelitis of Distal Femur Managed with Sequestrectomy, Saucerization, and Stimulan Placement
V Ra Rathina Easwar , R Navaneethakrishnan , Yogeshwar Agharkar ………………………………p.163-167
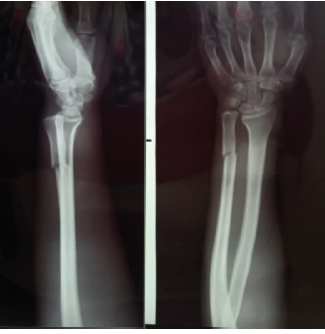
Isolated Distal Ulna shaft fracture with Distal Radioulnar Joint dislocation or Reverse Galeazzi Pattern: A Case Report with Literature Review
Ranjeet Choudhary , Ramesh Negi , Devender Kasotya , Harshit Verma , Sukhmin Singh
………………………………p.168-172
A Vertebral Fracture During Cardioversion for Atrial Fibrillation: A Case Report and Revision of the Literature
Matteo Spadini , Michele Ciabatti , Matteo Olivieri , Leonardo Bolognese , Patrizio Caldora
………………………………p.173-177
Aneurysmal Bone Cyst of Thoracic Spine in an Elderly Treated by Two Stage 360° Surgical Excision and Reconstruction with Expandable Cage – A Case Report
T S Nidhin , Ashok Thomas , V Vignesh Kumar , P P Nayar , Davis John
………………………………p.178-181
Neglected Anterior Elbow Dislocation without Fracture: An Unusual Case in an Adolescent
Gueye Alioune Badara , Mouhamadou Moustapha Niane , Kalifa Ababacar Faye , Yacine Sock , Charles Valerie Alain Kikpe
………………………………p.182-184
Acute Onset Common Peroneal Nerve Palsy Secondary to Fibular Head Osteochondroma in an Adolescent: A Case Report
Kevin Jain , Sandeep Patil , Stavan Amin , K S Akshay , Sanjeev Ghildiyal
………………………………p.185-188
Pediatric Capitellum Fracture Fixation with Bio-absorbable K-wire
Fawaz Mohammed Manu , M Jyothi Prasanth , Hijas Ismayil
………………………………p.189-194
Post-Traumatic Tibio-Fibular Malunion with Hindfoot Valgus: Treatment with Calcaneal Medializing and Fibular Lengthening Osteotomies – A Case Report
Sophie Shin , Robin Evrard , Olivier Cornu , Karim Tribak , Dan Putineanu
………………………………p.195-200