Anterior Tibial Artery Pseudoaneurysm Following Tibial Nailing: A Rare Vascular Complication Managed With Coil Embolization
Murat Acar , Scott D Wuertzer
………………………………p.52-56
Anterior Tibial Artery Pseudoaneurysm Following Tibial Nailing: A Rare Vascular Complication Managed With Coil Embolization
Murat Acar , Scott D Wuertzer
………………………………p.52-56
A Missed Case of Langerhans Cell Histiocytosis of the Proximal Femur after Total Hip Arthroplasty in an Adult: A Case Report
Sandeep Sehrawat , Mukund Madhav Ojha , Shivanand Gamanagatti , Vijay Kumar
………………………………p.57-61
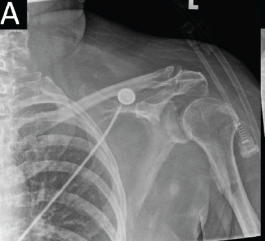
Clavicular Fracture Associated with Subclavian Artery Lesion: Case Report and Review of the Literature
Stef Biesemans , Tom Langenaeken , Joris Duerinckx
………………………………p.62-67
Exclusion of Necrotizing Soft-tissue Infection in a Patient with Malpositioned Intraosseous Access: A Case Report
Christopher R Leland , Hannah H Nam , David N Bernstein , Carl M Harper , Paul T Appleton , Ishaq O Ibrahim
………………………………p.68-73
Concomitant Neck of Femur and Greater Trochanter Fracture in a Young Adult – A Case Report
Pratik Kotangale , Sumedh Chaudhary , Abhinav Jogani , Nishant Jaiswal , Nilesh Sakharkar , Abhijit Tarte
………………………………p.74-77
Management of Ipsilateral Tibia and Fibula Shaft Fracture with Trimalleolar Fracture: A Rare Case Report
Siddhart Yadav , K P Chiranjeevi , Akash Singh Jadon , Shubhangi Lingwal
………………………………p.78-83
Single Stage Revision Anterior Cruciate Ligament Reconstruction through Anterolateral Tunnel in a Significantly Widened Tibial Tunnel using Peroneus Longus Tendon Autograft – A Case Report
Sujit Jos , Athish James , Prannoy Paul , Rakshit Jayaram , Antony Joseph
………………………………p.84-88
Salvaging Femur Head in a Pipkin Type III Femoral Head Fracture with Open Reduction and Internal Fixation Using Herbert Screw Fixation: A Rare Case Report
Mohammed Amjad Sohiel , Santosh D Ghoti , Ajit S Rathod , Jaideep Das , Aditya A Agarwal , Akshay Punekar
………………………………p.89-94
“Whoops Procedure” an Iatrogenic Indication for Total Femur Replacement in a Young Patient with Osteosarcoma. A Case Report
Varun Sanap , Sandesh Thete
………………………………p.95-100
Osteosynthesis in Iatrogenic Femoral Neck Fracture following Irreducible Posterior Hip Fracture Dislocation in an Elderly Patient: A Case Report and Literature Review
Laxman Choudhary , Satyendra Kumar , Sandeep Kumar Yadav , Abhay Elhence , Akshant Chandel , Vimal Prakash
………………………………p.101-106