1. A new technique for reduction of displaced dorsal fragment in distal radius fracture through volar bone fenestration?
2.Result of two such cases done by the same technique?
Dr Kiyohito NAITO: Department of Orthopaedic Surgery, Juntendo University Shizuoka Hospital, 1129 Nagaoka, Izunokuni, Shizuoka, 410-2295 Japan. E-mail : knaito@juntendo.ac.jp
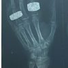
Introduction: For intra-articular distal radius fractures (AO Classification, type B2) with a displaced dorsal fragment, there remains much discussion on the fixation method for the dorsal fragment. To reduce the displaced dorsal fragment, we developed a new technique consisting of fenestration of the volar bone cortex, reduction using an intramedullary procedure, and fixation using a volar plate.
Case Report: We performed this surgical technique in 2 patients and achieved a good reduced position without much injury to the bone cortex at the site of volar plate placement. This surgical technique allows reduction of the dorsal fragment using an intramedullary procedure by only a volar approach, and, therefore, does not affect the dorsal soft tissue (extensor tendon). For intra-articular distal radius fractures, complete reduction of the articular surface is extremely difficult, and, in patients with a remaining gap on the articular surface, a variable angle locking screw system may be useful. In the 2 patients, the angle of the locking screw was adjusted to catch the displaced dorsal fragment, and adequate reduction and fixation could be achieved.
Conclusion: This technique, in which fenestration of the volar bone cortex allows a reduction procedure for the dorsal fragment, was useful for the reduction and fixation of the displaced dorsal fragment in distal radius fractures.
Keywords: volar plate, distal radius fracture, dorsal fragment, intramedullary reduction procedure.




